Samsung HERA W9
Ультразвуковая система Samsung HERA W9
Цена по запросу

Ультразвуковая система Samsung HERA W9

Samsung HERA W9
Ультразвуковая система Samsung HERA W9

Откройте для себя новую ультразвуковую систему премиум-класса, разработанную для ещё более эффективной и комфортной заботы о женском здоровье. Новая установка для ультразвуковых исследований HERA W9 сочетает в себе превосходные технологии визуализации и эргономичный дизайн, позволяющие оптимизировать рабочий процесс.

Тип: Стационарный Класс: Премиальный Количество портов для датчиков: 4 3D/4D датчик: Да Экран, ": 21.5 Жесткий диск, Гб: 1000 НКМИ: 260250
Описание

Откройте для себя новую ультразвуковую систему премиум-класса, разработанную для ещё более эффективной и комфортной заботы о женском здоровье. Благодаря инновационной системе Crystal Architecture и передовым технологиям обработки изображений HERA W9 обеспечивает получение реалистичных снимков с высоким разрешением для исключительно точной диагностики.

Обновленные технологии визуализации на основе технологии Crystal Architecture TM

Crystal ArchitectureTM, технология визуализации, сочетающая в себе CrystalBeamTM и CrystalLiveTM, основанная на S-Vue датчиков, обеспечивает кристально чистое изображение.

  • CrystalBeamTM — это новая технология формирования луча, позволяющая обеспечить высококачественное разрешение изображения и повышенную однородность изображений.
  • CrystalLiveTM — это современный процессор ультразвуковой визуализации от Samsung с улучшенной обработкой 2D-изображений, 3D-рендерингом и обработкой цветового сигнала. обеспечить превосходное качество изображения и эффективный рабочий процесс в сложных случаях.
Быстрая визуализация Память графического процессора X3*
Изображения высокого качества Вычислительная мощность X11 *
Высокая частота кадров скорость передачи данных x10*

* По сравнению с Samsung WS80A.

Новый способ формирования луча для создания детальных изображений

CrystalBeam ™ использует передачу сигналов произвольной формы, массивное параллельное формирование луча и технологии синтетической диафрагмы для повышения частоты кадров и улучшения однородности изображения.

* По сравнению с Samsung WS80A

Сложные 2D-изображения, обработанные CrystalLiveTM

CrystalLiv TM помогает вам ставить более точные диагнозы с помощью фундаментальных 2D-изображений.К некоторым основным преимуществам 2D-изображений относится возможность подавления теней, уменьшения артефактов ореола и уменьшения размытости области.

Точечно визуализируйте область тени ShadowHD TM избирательно применяет высокочастотный и низкочастотный спектр ультразвука для определения зон затенения, таких как головка плода или позвоночник, где происходит ослабление.

на изображении: Мозг плода

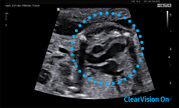
Улучшите качество 2D-изображения с помощью фильтра шумоподавления ClearVision обеспечивает более четкие границы тканей с помощью фильтра шумоподавления и создает четкие 2D-изображения. Это уменьшает артефакт ореола, возникающий при увеличении контура ткани, и устраняет шумы на границах ткани.

на изображении: Сердце плода

Проясните размытую область для получения более четких изображений HQ-Vision™ обеспечивает более четкое изображение за счет смягчения характеристик ультразвуковых изображений, которые немного размыты по сравнению с реальным зрением.

на изображении: Позвоночник плода

Реалистичное описание характеристик 3D / 4D

CrystalLiveTM в формате 3D / 4D обеспечивает пользователям более реалистичные изображения с высоким разрешением. Она превосходит традиционные технологии 3D-визуализации в плане просмотра мелких деталей и световых эффектов.

Визуализация внутренних и внешних структур с объемной визуализацией CrystalVueTM - это передовая технология объемной визуализации, которая улучшает визуализацию внутренних и внешних структур в одном визуализированном изображении с использованием комбинации интенсивности, градиента и положения.

на изображении: Внутриматочное пространство с CrystalVueTM (4-камерный вид)

Реалистичное отображение 3D-анатомии RealisticVue™ отображает 3D-анатомию в высоком разрешении с исключительной детализацией и реалистичным восприятием глубины. Выбираемое пользователем направление источника света создает затейливо градуированные тени для более четких анатомических структур.TM

на изображении: Ранний зародыш с помощью RealisticVueTM

Объемное изображение высокой четкости HDVITM - это технология объемной визуализации, которая улучшает визуализацию краев и небольших структур на объемных данных. Улучшенная выразительность границ и насыщенность изображения позволяют передать самые детали от угла до тени плода.

на изображении: Позвоночник плода с 3D

Детальное отображение динамики кровотока

Улучшеная цветопередача CrystalLivTM для четкой визуализации гемодинамики кровотока. Повышенная чувствительность за счет новой обработки цветового сигнала позволяет более точно определять состояние периферических кровеносных сосудов, микроциркуляторного кровотока и объемы медленного кровотока.

Трехмерная визуализация кровотока LumiFlow™ - это трехмерная визуализация кровотока, которая помогает интуитивно понять структуру кровотока и мелких сосудов.

на изображении: Цветная допплерография с LumiFlowTM (4-камерный вид)

Визуализация микроциркуляторных структур с замедленным кровотоком 1 MV-Flow™ предлагает новую альтернативу силовой допплерографии для визуализации замедленного кровотока в микроциркуляторных структурах. Высокая частота кадров и усовершенствованная фильтрация позволяют MV-Flow™ получать детальное представление о кровотоке в отношении окружающих тканей или патологии с улучшенным пространственным разрешением.

на изображении: Перикаллозальная артерия с MV-FlowTM

Допплерография с направленной мощностью для исследования периферических сосудов S-FlowTM, технология направленной энергетической доплеровской визуализации, может помочь обнаружить даже периферические кровеносные сосуды. Она обеспечивает точную диагностику, когда исследование кровотока особенно затруднено.

на изображении: S-FlowTMс LumiFlowTM(вид дуги аорты)

Удобство применения усовершенствованной диагностической системы

Изображения, созданные с помощью технологий Crystal Architecture™, расширяют различные диагностические возможности Samsung ultrasound. Разнообразные технологии HERA W10 для изучения роста плода и состояния здоровья женщины в подробных отчетах помогут вам повысить уверенность в исследованиях и упростить процесс постановки диагноза.

ViewAssistTM ViewAssistTM обеспечивает автоматическую классификацию ультразвуковых изображений и аннотацию структур, чтобы помочь медицинским работникам в удобном проведении измерений.
Контур матки Контур матки автоматически выделяет центральную линию и толщину изогнутого эндометрия и обеспечивает вид короны в 3D, выровненный по центральной линии. Кроме того, информация о классификации пороков развития матки приводится в соответствии с выбранными рекомендациями ESHRE / ESGE* или ASRM*.

* ESHRE/ESGE : The European Society of Human Reproduction and Embryology / The European Society for Gynaecological Endoscopy

* ASRM : The American Society for Reproductive Medicine

BiometryAssistTM Полуавтоматическая технология биометрических измерений BiometryAssistTM позволяет пользователям быстро измерять рост плода, сохраняя последовательность обследования.
Срез A Slice A - это функция, которая улучшает контрастное разрешение изображений в плоскости. Комбинируя несколько изображений в плоскости, это помогает анализировать ткани или структуры, которые трудно разглядеть только на 2D изображениях.
5D CNS+TM 5D CNS +™ использует интеллектуальную навигацию для выполнения 6 измерений с 3 поперечных ракурсов головного мозга плода, что повышает воспроизводимость результатов и упрощает рабочий процесс.
Объем 5D LimbTM 5D Limb Vol.TM - это полуавтоматический инструмент для быстрого и точного измерения объемов предплечий или бедер по 3 простым начальным точкам в едином наборе данных об объеме.
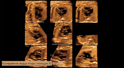
5D HeartTM Функция обеспечивает 9 стандартных плоскостей сердца, используя данные STIC плода, а также важную информацию о развитии сердца плода простым и точным способом в соответствии с рекомендациями AIUM.
Характеристики
Страна изготовления
Южная Корея
Вид оборудования
УЗИ аппараты
Тип
  • Стационарный
Класс
Премиальный
Количество портов для датчиков
  • 4
Подогреватель геля
  • Да
Сегмент
  • Частный
Область применения
  • Кардиология
  • Гинекология
Поддерживаемые датчики
Линейные
Да
Конвексные
Да
Микроконвексные
Да
Секторные фазированные
Да
Внутриполостные
Да
Поддержка особых датчиков
3D/4D датчик
Да
Биплановые
Нет
Внутрисосудистые
Нет
Интраоперационные
Нет
Карандашные
Да
Катетерные
Нет
Лапароскопические
Нет
Матричные
Да
Монокристальные
Да
Офтальмологические
Нет
Чреспищеводные TEE
Нет
Эндоскопические
Нет
Режимы и функции УЗ сканирования
B-режим, Двухмерное сканирование (B-mode, Brightness)
Да
M-режим (M-Mode)
Да
Цветной M-режим (Color M-mode)
Да
Дуплексное сканирование (В + В, В + М, В + D)
Да
Триплексное сканирование (В + D + CFM)
Да
Трапециевидное сканирование/Виртуальный конвекс (Trapezoid/ExFOV/TP-View)
Да
Панорамное сканирование (iScape View/Logiq View/Sie Scape)
Да
Режим B-сканирования с отклонением угла (B steer)
Да
Анатомический М-режим
Да
Доплеровские режимы (D)
Импульсно-волновой допплер (PW, Pulsed Wave Doppler)
Да
Постоянно-волновой допплер (CW, Continuous Wave Doppler)
Да
Цветовой допплер, ЦДК (CFM, CFA, Color Doppler)
Да
Высокочастотный импульсный допплер (HFPW или HPRF)
Да
Энергетический допплер (PD Power Doppler, Energy Doppler)
Да
Направленный энергетический допплер (DPD, Directional Power Doppler)
Да
Тканевой допплер (TDI, TVI, TEI, TVD и TVM)
Да
Недопплеровская визуализация кровотока (B-flow)
Да
Режимы эластографии
Компрессионная эластография (NTE, Elasto)
Да
Эластография сдвиговой волной/Эластометрия (STE/STQ)
Да
Режимы объемного сканирования
Трехмерная реконструкция методом свободной руки (Smart3D™, FreeHand 3D)
Да
Объемное сканирование (4D, Real-time 3D)
Да
Трехмерная реконструкция ЦДК (Color 3D)
Да
Режимы акустической прозрачности 3D (3D transparency modes, Smart Scenes 3D)
Да
Технические характеристики
Командный дисплей, диагональ
13.3
Командный сенсорный дисплей
Да
Экран, "
  • 21.5
Встроенная аккумуляторная батарея
Да
Жесткий диск, Гб
1000
Твердотельный накопитель (SSD)
Да
Информация для госзакупок
НКМИ
  • 260250
Файлы
Чек-лист 5,5 Mb
Цена по запросу
Сервис
Лизинг
Гарантии
Преимущества