Mindray Hepatus 6 ультразвуковая система фибросканирования печени
Hepatus 6 предлагает новую эру неинвазивной диагностики заболеваний печени. Система может использоваться для количественной диагностики фиброза печени и ожирения печени, вызванного различными хроническими заболеваниями печени. Эффективно помогает выявлять заболевания на ранней стадии, улучшая лечение и реабилитацию пациента.
Hepatus 6 — это ультразвуковая система для диагностики заболеваний печени, которая является профессиональной, неинвазивной и обеспечивает количественный результат для определения стадии фиброза печени. В аппарате воплощен метод транзиентной эластографии (сдвиговой волны), что позволяет диагностике быть точной, эффективной, надежной, а главное удобной в использовании, представляя новую эру в неинвазивной диагностике заболеваний печени.
Новая эра неинвазивной диагностики заболеваний печени
Hepatus - это профессиональная неинвазивная система диагностики заболеваний печени, обеспечивающая количественный результат для определения стадии фиброза печени. Она точна, эффективна, надежна и удобна для наблюдения за заболеванием.
Количественный анализ ригидности печени Обеспечивает количественное определение жесткости печени и стадии фиброза печени с помощью технологии переходной эластографии
Количественный анализ стеатоза печени Количественная оцененка тяжести стеатоза печени с помощью технологии LiSA (поглощения ультразвука в печени).
Широкий спектр клинических применений
Hepatus 6 применим для скрининга, диагностики, мониторинга и оценки лечения фиброза печени и стеатоза, вызванных различными причинами. Особенно на ранней стадии.
- Неалкогольная жировая болезнь печени
- Алкогольная болезнь печени
- Хронический гепатит В
- Хронический гепатит С
- Лекарственное повреждение печени
- Аутоиммунные заболевания печени
- Заболевания желчевыводящих путей
Транзиторная эластография является рекомендуемым методом обследования при хронических заболеваниях печени
Доступная биопсия печени, сниженный риск биопсии, простое и быстрое, безопасное и экономичное обследование.
Количественное выявление и оценка тяжести фиброза и стеатоза печени, широко рекомендованные глобальными руководящими принципами по болезням печени, со зрелыми и надежными диагностическими критериями.
Высокая чувствительность к фиброзу печени и стеатозу на ранней стадии с высокой точностью обнаружения, способствующая раннему скринингу, диагностике, лечению и реабилитации заболеваний печени.
Врачам удобно отслеживать результаты одного и того же пациента в разное время, что позволяет отслеживать заболевания и оценивать лечение.
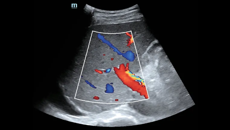
Advanced ViTE (визуализированная транзиторная эластография)
- Проводить количественное выявление и оценку фиброза и стеатоза печени под визуальным контролем 2D-ультразвука в режиме реального времени
- Позволяет избежать образования кровеносных сосудов и повреждений, повысить точность и достоверность измерения
- Значительно снижает сложность операции, повышает точность и повторяемость количественных измерений
Конструкция интегрированного зонда
- Технология сверхширокополосных частот охватывает всех пациентов разного возраста и формы тела
- Один зонд для визуального наведения ультразвука и количественного определения, нет необходимости переключать зонды во время сканирования
- Процесс сбора данных может быть выполнен с помощью одной встроенной кнопки
Быстрое интеллектуальное получение данных Q-сканирования
- Нажатием одной кнопки можно автоматически и непрерывно получать 10 групп эффективных данных и проводить интеллектуальный анализ
- Точные и достоверные результаты обнаружения могут быть получены немедленно, всего через 7 секунд после позиционирования
Надежный показатель контроля качества
- Индекс давления (P): качественный контроль давления зонда
- Индекс стабильности движения (m-STB): обеспечивает стабильность дыхания
- Четкая индикация с другим цветом для улучшения контроля качества во время обследования
Нарушение дыхательных движений; слишком низкое давление Prboe
Состояние дыхания стабильное; Давление зонда слишком высокое
Дыхательная система стабильна; Давление зонда соответствующееРазличные ультразвуковые решения
- Профессиональный ультразвуковой зонд для облегчения исследования асцита и т.д.
- Специальная пункция под ультразвуковым контролем для повышения точности биопсии
- Превосходное ультразвуковое изображение и функциональность позволяют всесторонне оценить морфологию и гемодинамику печени.
Пункция печени под контролем ультразвука
Асцит печени
Оценка портальной гемодинамики
Оценка морфологии печениЭргономичный дизайн

Портативные сканеры легкие (5-15 кг) и компактные (размером с ноутбук), активно применяются в ситуациях, требующих скорой медицинской помощи, как на выездах, так и внутри лечебного учреждения. В больнице переносные приборы часто устанавливаются на специальную тележку, оснащенную держателями датчиков и другими опциями.
Стационарные аппараты также называют передвижными. Работают от электросети. Обеспечивают высокую производительность, обеспечивают точную диагностику, имеют дисплей с большей диагональю и наиболее удобную панель управления. Также могут иметь встроенную аккумуляторную батарею.
УЗИ аппарат на базе планшета управляется с помощью встроенного сенсорного экрана, как современный мобильный смартфон или обычный планшетный компьютер. Прибор удобен для проведения УЗИ в удаленном месте оказания медицинской помощи, а также в таких критических ситуациях, как аварии и катастрофы.
- Стационарный
Портативные сканеры, как правило, имеют один-два порта и подходят для проведения узкоспециализированных исследований одним-двумя датчиками, например, при оказании экстренной медицинской помощи или при использовании в операционной.
В многопрофильном кабинете УЗИ применяются стационарные сканеры с 3-4-5 портами для каждого вида датчиков.
- 2
- Государственный
Области медицинского применения в основном определяются типом датчиков, работающих с ультразвуковым прибором и наличием специализированных режимов работы.
УЗИ аппараты общей визуализации предназначены для широкого спектра исследований, оперативной диагностики и повсеместно применяются в кабинетах ультразвуковой диагностики.
Для эхокардиографии используются секторные фазированные датчики и дополнительные допплеровские режимы с целью исследования сердечной деятельности.
В гинекологии применяются специализированные программы и датчики, позволяющие качественно провести внутриполостные исследования.
В ветеринарии используются портативные или стационарные ультразвуковые системы для животных с использованием, как правило, конвексного/микроконвексного датчика, секторного фазированного и линейного.
- Исследования печени
- 26.60.12.132-00000032
- 260250
