Дата публикации: 04.01.2021
Когда доктор выбирает новый ультразвуковой аппарат, в первую очередь его волнует качество визуализации, затем набор функций и возможности автоматизации измерений и вычислений. Каждый из этих пунктов очень важен. От формирования изображения зависит качество исследования и время, затраченное на получения снимка. Возможности расчетов позволяют не сидеть с калькулятором или листочком, считая всё вручную. Авто расчеты значительно ускоряют процесс измерений, например, ручная трассировка спектрограммы отнимает кучу времени, когда авто-трассировка работает самостоятельно.
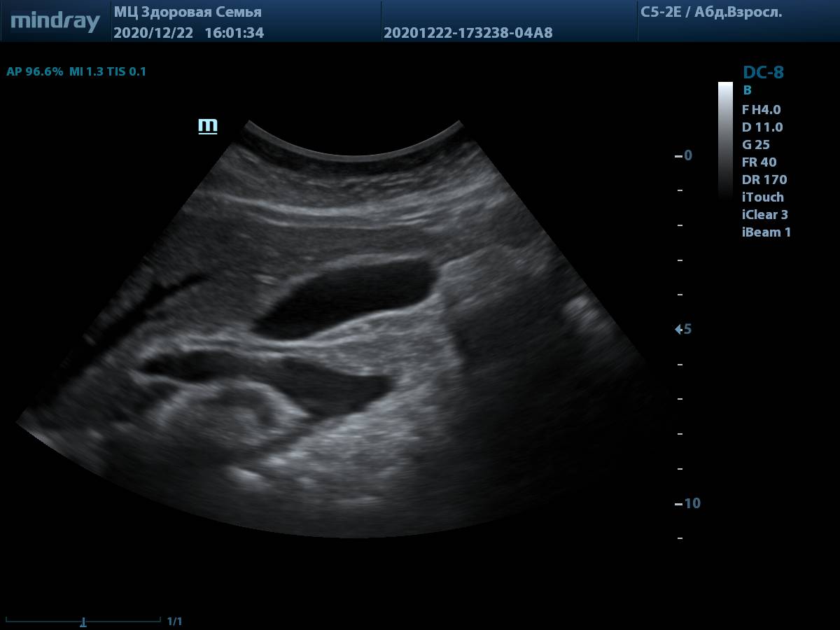
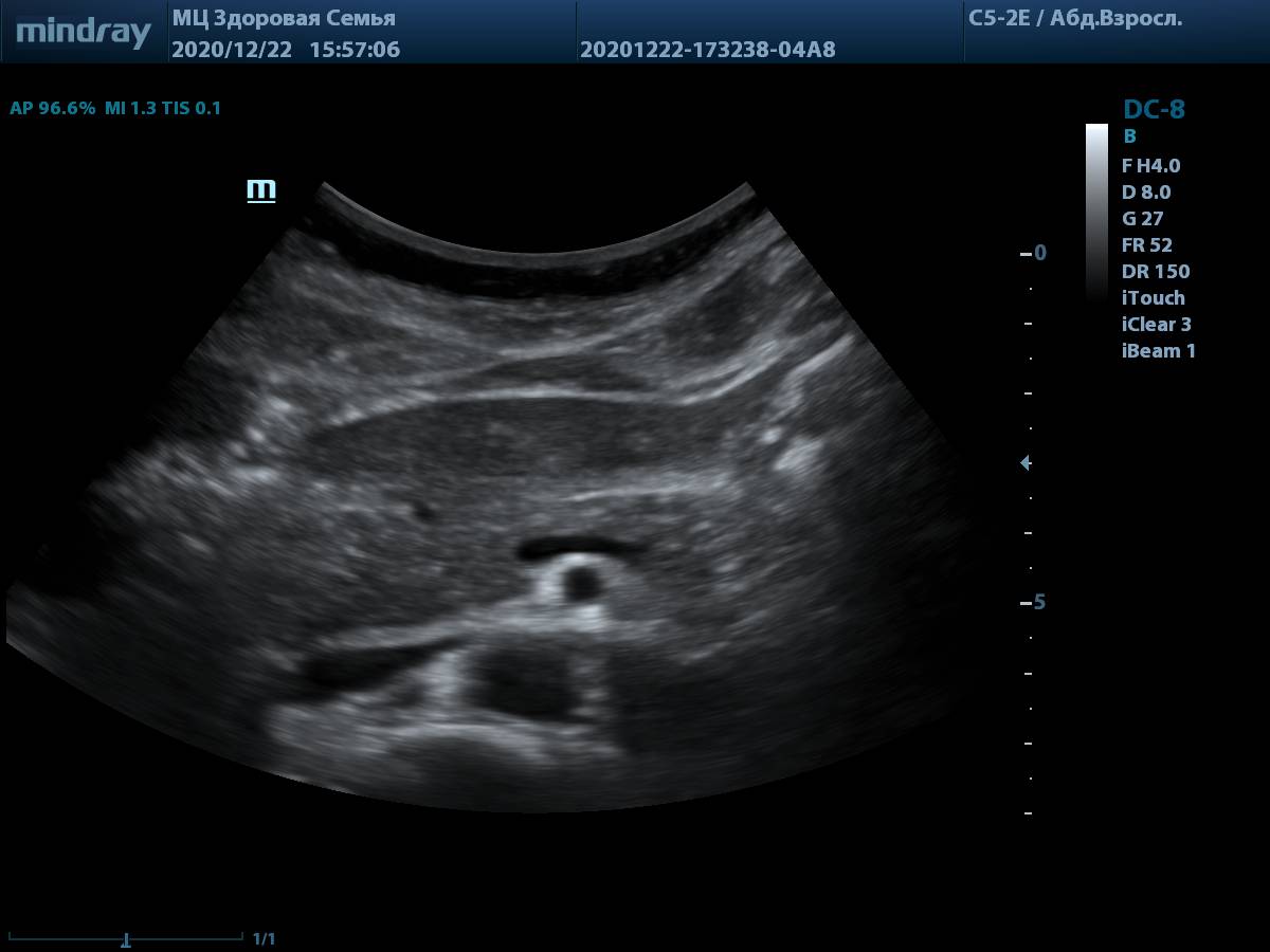
Сегодня мы предлагаем посмотреть на настоящие снимки и видео петли, полученные на живом потоке пациентов. Такие изображения встречаются в клинической практике ежедневно у пациентов без идеального ЭХО окна. Снимки выполнены на аппарате экспертного класса Mindray DC-8.
1. Длинная ось левого желудочка (LAX LV). Прибор четко дифференцирует модераторный пучок правого желудочка от межжелудочковой перегородки и хорды от нижней стенки левого желудочка. Данные показатели критически важны при измерении их толщины и расчете массы миокарда. Частота кадров при заводской настройке составляет 91 кадр, это впечатляющий показатель.
2. Короткая ось левого желудочка (SAX). Линии эпикарда и эндокарда четкие, высокая частота кадров позволяет точно оценить сегментарную кинетику.
3. Тканевая допплерография (TDI). Всё просто и удобно, достаточно нажать одну кнопку. Цветовая карта по умолчанию яркая, не нужно настраивать её усиление для выбора точки установки контрольного объема.
4. Пример визуализации поджелудочной железы у пациента с избытком массы тела, проблем с измерением органа и оценки его структуры нет. В качестве линзы использована левая доля печени.
5. Ветви аорты – чревный ствол и верхняя брыжеечная артерия. Отличное наполнение цветом, правильное появление элайзинга. Достаточно большая шкала для оценки конвексным датчиком. Картинка В-режима при включении цвета не теряет в качестве.
6. Пример визуализации ворот печени у пациента с избыточной массой тела. Четкие контуры холедоха и портальной вены, идеально для проведения измерений.
7. Линейный датчик L12-3E, оценка глубоких структур, таких как позвоночная артерия, не вызывает трудностей. Хорошая чувствительность цветового допплера на глубине.
8. Общая сонная артерия (L12-3E) с использованием системы автоматического измерения комплекса интима-медиа, согласно международным стандартам.
9. Общая сонная артерия, PW-допплер. Автоматическая трассировка игнорирует мелкие артефакты, четко повторяя спектр, а также использует несколько комплексов для снижения погрешности. Для отправки результата в отчет достаточно выбрать параметр в меню измерений.
8 лет лидерства (2017-2024 г.)
* ежегодная аналитика компании Mindray
Сервисный центр удостоен награды Mindray “Gold Service Channel” по итогам 2020, 2022, 2023 и 2024 гг.
Только самое интересное на почту 2 раза в месяц!